СҚО-дағы Көп бейінді қалалық жедел медициналық жәрдем ауруханасына 51 жасар ер адам құлақ маңындағы жарамен көмекке жүгінді. Жөндеу жұмыстары кезінде шегеге арналған пневматикалық құралдың шегесінен жарақат алған, деп хабарлайды turkystan.kz.
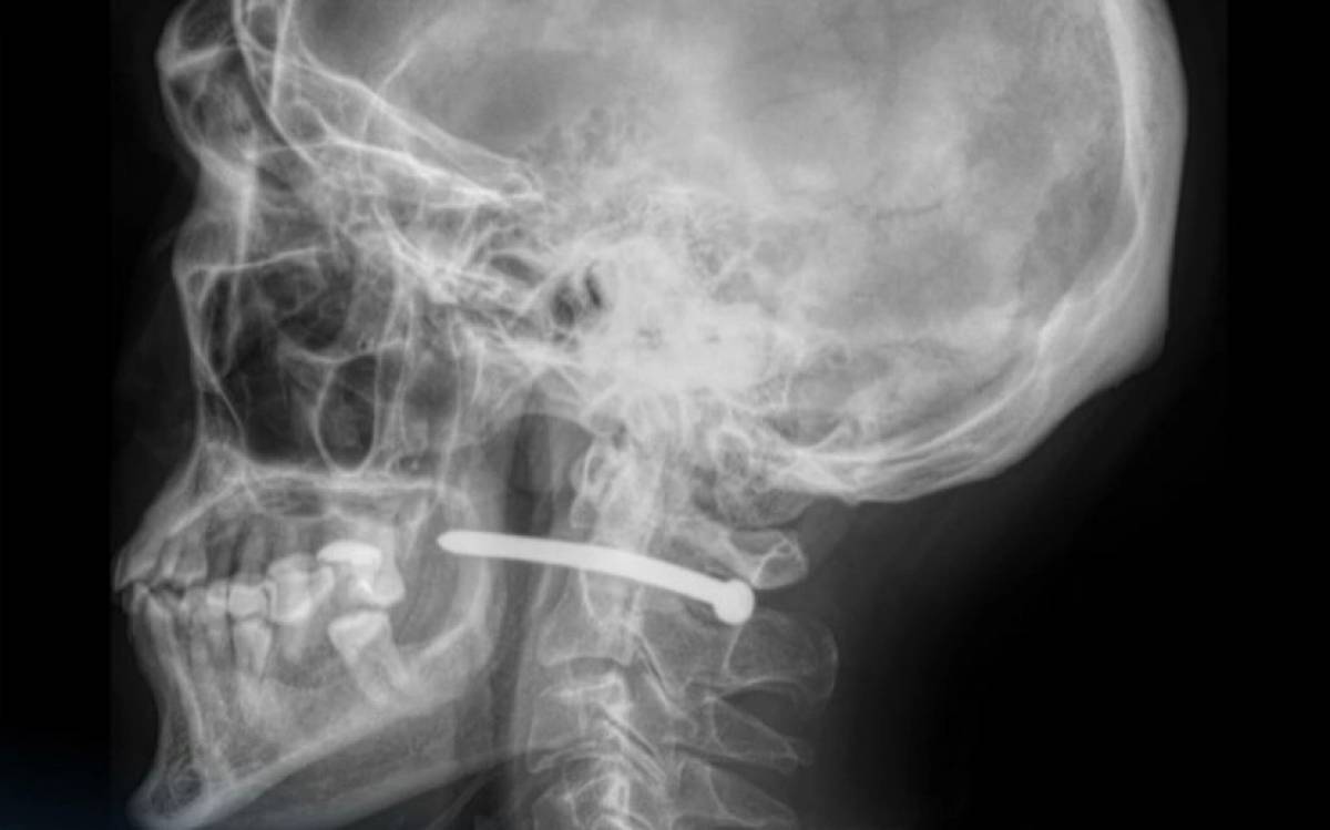
Аурухананың баспасөз қызметінің ақпаратынша, рентген-зерттеуден кейін шегенің омыртқаның мойын бөлігінен өткені анықталды. Өміріне маңызды органдары зақым алған жоқ.
"Жақсүйек-бет хирургтары жарадан шегені алып, қарап, жараны өңдеді. Жара тігіліп, стерильді таңғыш салынғаннан кейін пациентке ұсыныстар беріліп, ол үйіне жіберілді.
Мойын тұзына жарақат алу өте қауіпті – мойынның маңайынан үлкен тамырлар, нервтер, тыныс алу жолдары және жұлын өтеді. Тіпті кішкене ғана зақым алудың салдары ауыр болуы мүмкін", - делінген хабарламада.
Сақ болыңыз:
— Құрал-саймандармен жұмыс істегенде қауіпсіздік техникасын сақтаңыз.
— Қорғаныс құралдарын қолданыңыз.
— Бөгде заттарды өзіңіз алуға тырыспаңыз.
— Жарақат алғанда дереу медициналық көмекке жүгініңіз.
