Ақтауда бес жасар баланың ішінен кілт шықты

/
Ақтауда бес жасар баланың ішінен кілт шықты
ашық дереккөзі
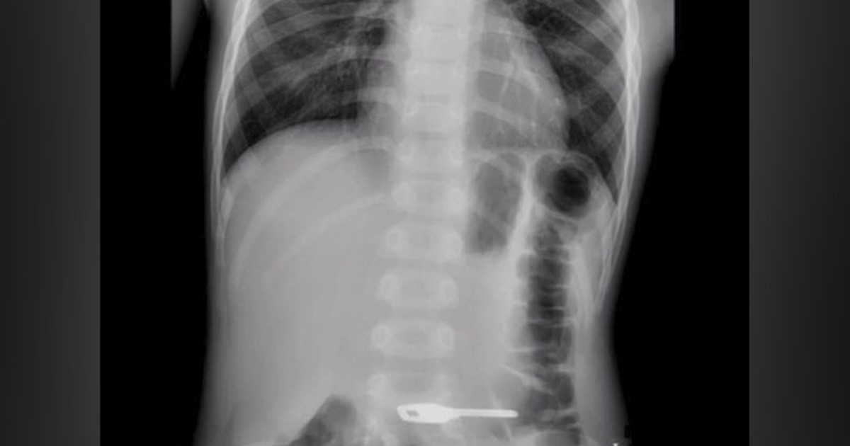
Ақтауда бес жасар баланың ішінен кілт шықты Ақтауда 2015 жылы туған баланың ішінен үйдің кілті алынды, – деп жазды ҚазАқпарат. Облыстық балалар ауруханасының хирургы Орынбай Жалбайұлының және «SOFIE MEDGROUP» клиникасының эндоскопист дәрігерінің бірлесе отырып жасаған жұмысының арқасында 5 жасар балаға ота жасалып, оның ішінен кілт алынған. Ата-анасының айтуынша, кілт баланың ішінде 10 күндей болған. Қазір баланың жағдайы бірқалыпты.
Бөлісу:

Серіктес жаңалықтары